Aucun traitement ne ressemble à un autre.
Le traitement par aligners transparents Invisalign® a fait preuve de son succès dans le traitement des malocclusions de Classe I, II et III. Qu'il s'agisse d'un simple mouvement dentaire ou de cas plus complexes, le système Invisalign® peut vous aider à atteindre vos objectifs cliniques.
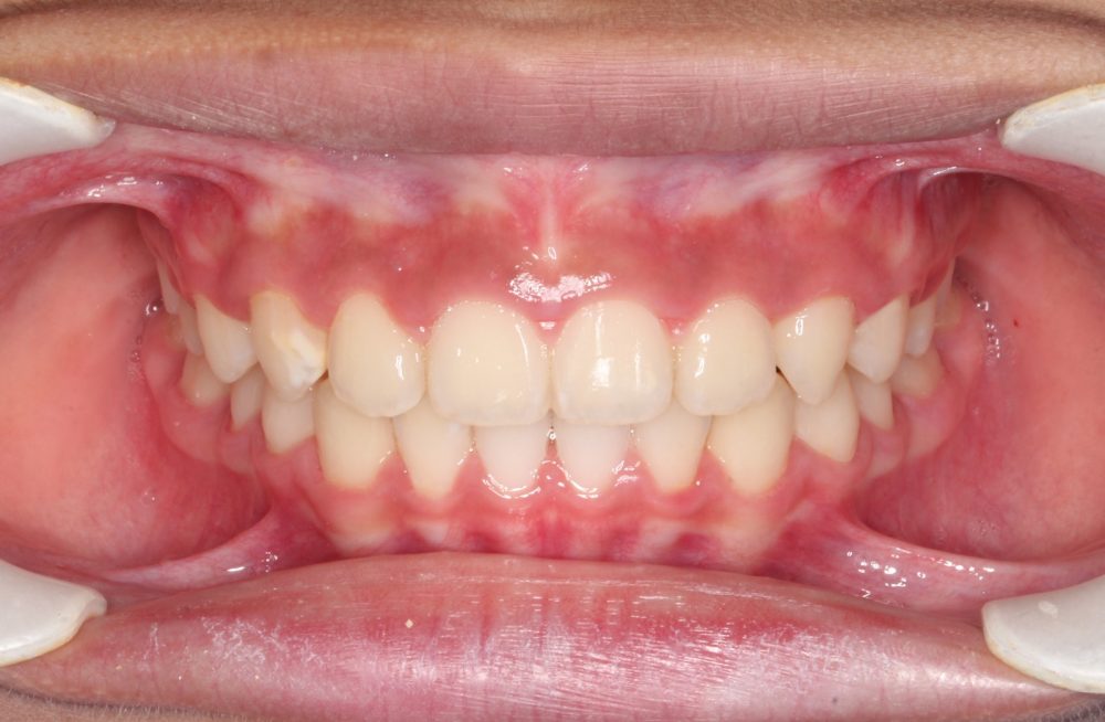
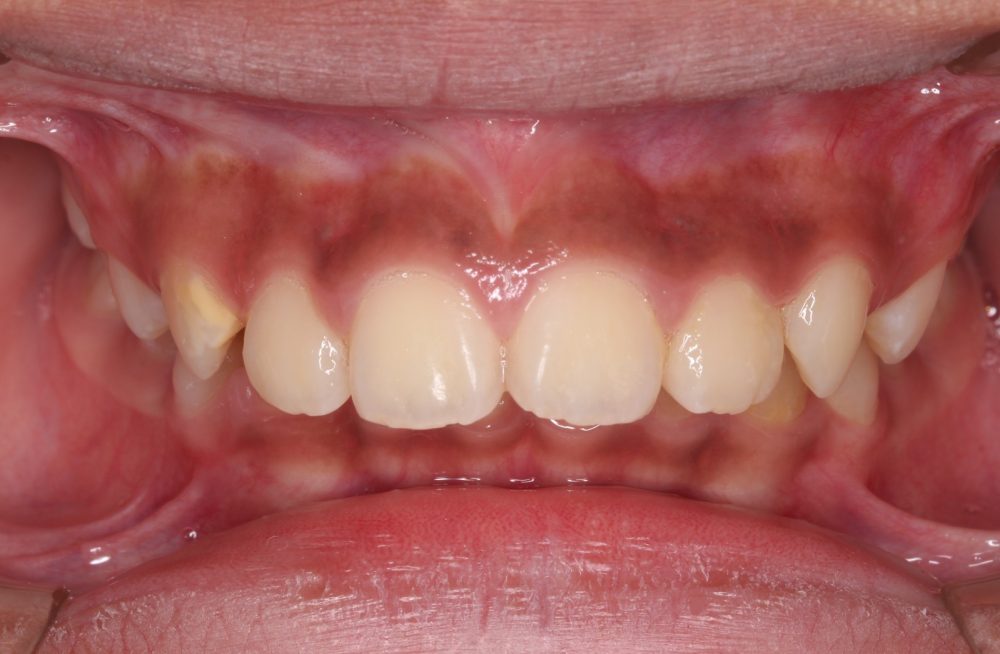
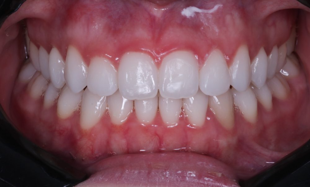
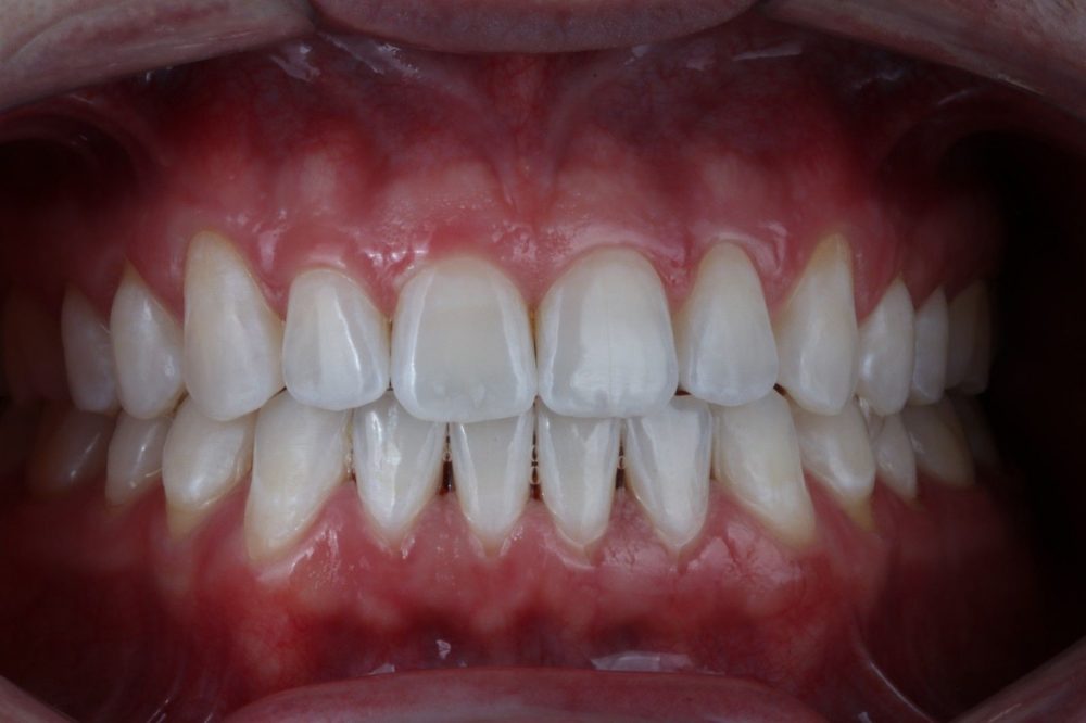
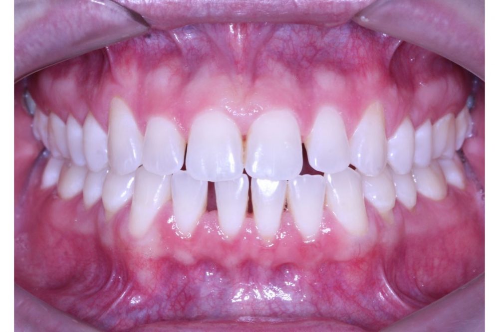
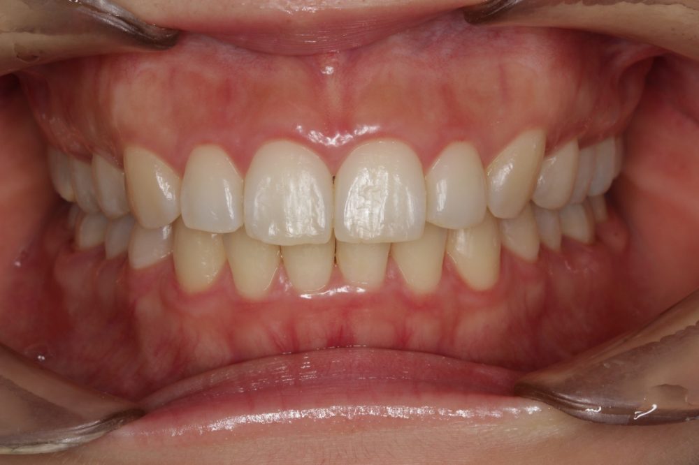
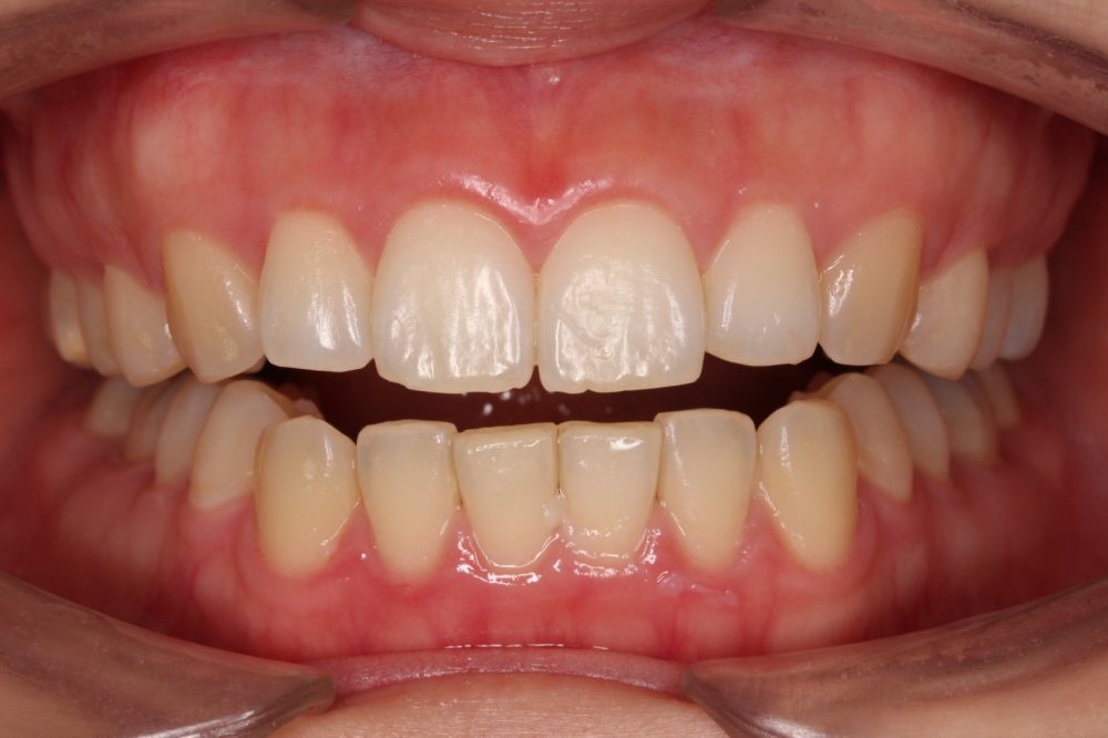
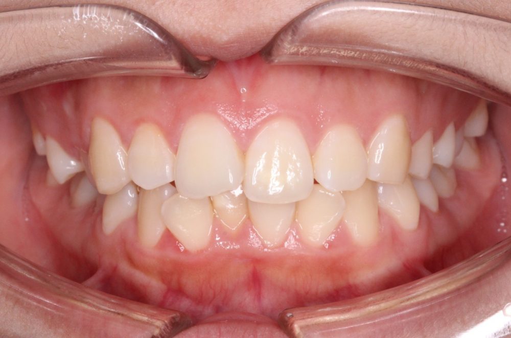
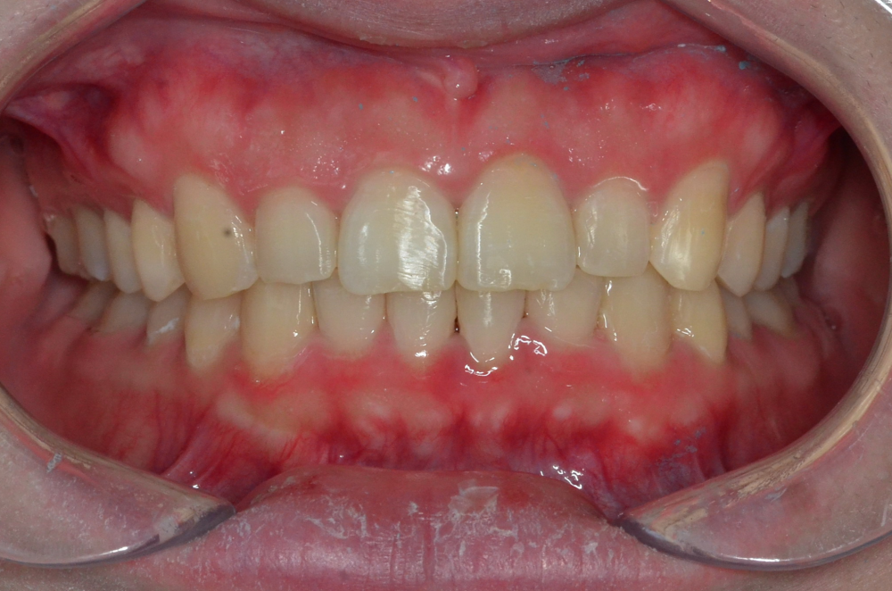
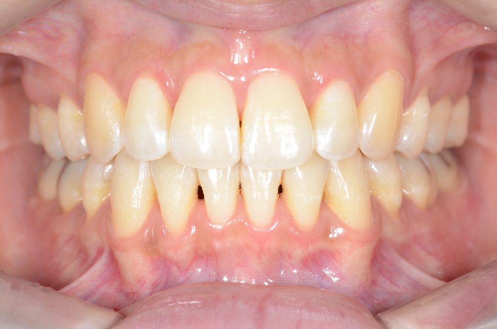
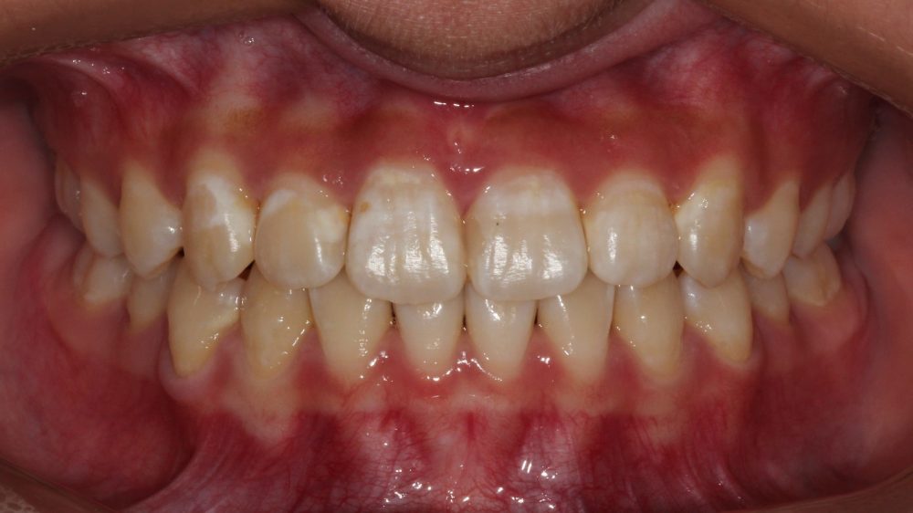
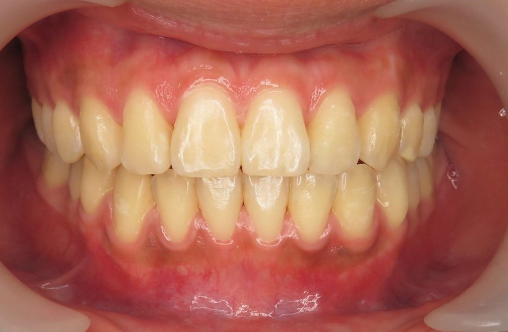
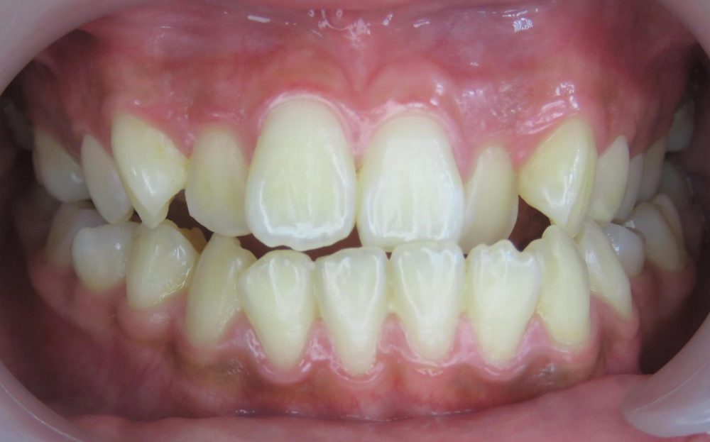
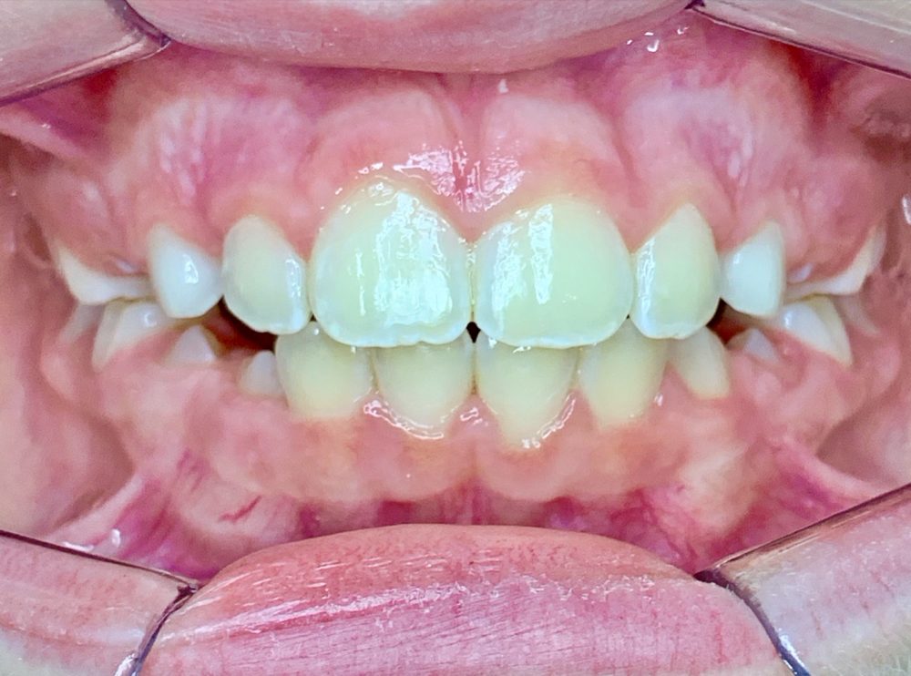
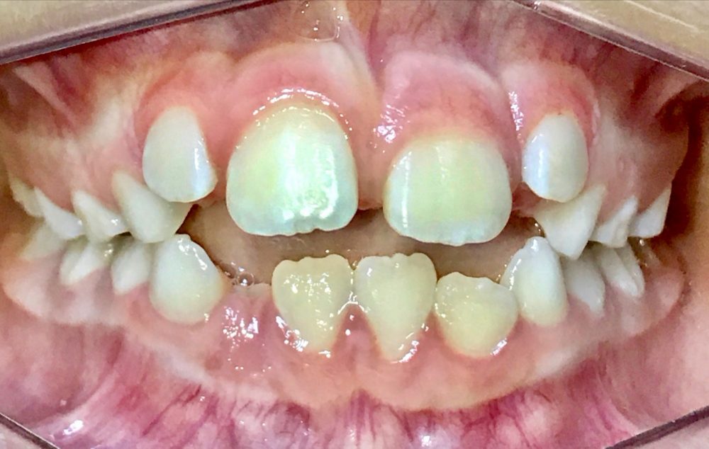
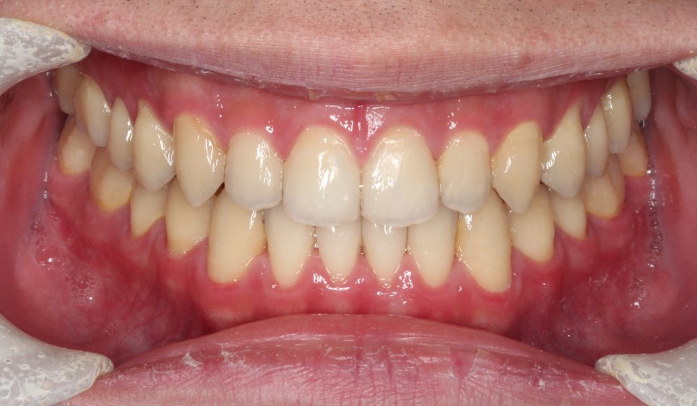
Découvrez les résultats obtenus avec le traitement Invisalign
Les cas comprennent :
Classe III
Articulé croisé antérieur
Espacement
Béance
Encombrement
Supraclusion
Extraction
Décalage de l'axe médian
Arcades étroites
Traitement de Phase I
Articulé croisé postérieur
Traitement chirurgical
Généralement des dents plus droites
1. Des changements d’aligners hebdomadaires sont recommandés pour tous les traitements Invisalign® (avec protocole d'organisation des étapes par défaut) pour les produits Invisalign Full, Invisalign Teen, Invisalign Lite, Invisalign Assist et Invisalign Go™. La décision de prescrire des changements d’aligners hebdomadaires dépend uniquement du praticien. Surveillez les mouvements dentaires tels que les rotations, les égressions, et les mouvements radiculaires importants ; en particulier les mouvements bleus et noirs de l’Évaluation des mouvements dentaires (EMD). Selon la réaction du patient au traitement, en particulier les adultes d'âge mûr, envisagez des périodes plus longues entre les changements d’aligners.
2. avec des changements d’aligners hebdomadaires au lieu de changements d’aligners toutes les deux semaines sur la base d'une durée de traitement des premiers plans de traitement ClinCheck®
Le Système Invisalign® est un dispositif médical de classe IIa indiqué pour l’alignement des dents pendant le traitement orthodontique des malocclusions, fabriqué par Align™ Technology Inc. Lire attentivement la notice. Traitement d'orthodontie pris en partie en charge par l'Assurance Maladie sous réserve d'obtenir l'accord préalable de la caisse d'Assurance Maladie du patient et s'ils sont commencés avant le 16e anniversaire. Janvier 2021





























